Roberto Efrain Margos García MSc1, Verónica María Isabel Campo Doninelli2, Jimmy Ixcayau Hernández MSc MACG3
2Residente 3er año Maestría en Cirugía General, 1,2,3Departamento de Cirugía Hospital General de Enfermedades IGSS. Autor Corresponsal: Roberto Efraín Margos. Tel: +502 5016 2165 e-mail: efra.margos@gmail.com
RESUMEN
El ileo biliar es una rara complicación de la colelitiasis no tratada. Presentamos el cuadro clínico y el manejo de un paciente masculino de 72 años
ABSTRACT
Biliary Ileus Intestinal Obstruction. A Case Report
The biliary or Gallstone ileus is a rare complication of the non-treated Cholelithiasis. We present the clinical features and the treatment of a 72 years old patient.
INTRODUCCIÓN
El íleo biliar es la causa del 1-3% de las obstrucciones in- testinales1,2. Esto es generado por la obstrucción intralu- minal de un lito. Generalmente está asociado a fístulas colecistoduodenales, colecistogástricas y colecistocoló- nicas3. La presentación de estos pacientes es un cuadro típico de obstrucción intestinal que puede en ocasiones resolver momentáneamente7,9. Su diagnóstico preopera- torio se basa en la clínica y estudios de imagen. El trata- miento de este problema es quirúrgico.
Existe controversia del abordaje en uno o dos tiempos quirúrgicos, ya que se ha descrito que el principal objeti- vo es resolver el cuadro de obstrucción y la reparación de fístula puede ser realizado en el mismo tiempo quirúrgico o esperar a una segunda intervención1,4,5,8.
La historia natural de la enfermedad inicia con cuadros de colecistitis aguda a repetición que generan adheren- cias de la vesícula con estructuras vecinas, provocando la formación de fístulas de la vesícula hacia duodeno, esto- mago o colon. Al estar presente la fístula con presencia de cálculos grandes en su interior existe migración del lito hacia la luz intestinal que puede generar dos patologías, si la obstrucción se genera del duodeno hacia caudal pro- voca íleo biliar, si la obstrucción se genera del duodeno hacia región craneal provoca el Síndrome de Bouveret6.
Durante la evaluación diagnóstica se presenta un cuadro de obstrucción intestinal con resolución espontanea, de- bido a que puede haber migración del lito intraluminal re- solviendo momentáneamente el cuadro obstructivo. En estudios de imágenes podemos mencionar inicialmente
hallazgos en rayos x que presenta neumobilia, dilatación de asas intestinales e imagen de un lito intraluminal (tria- da de Simon). En tomografía estos hallazgos son visualiza- dos con mayor calidad de imagen2,4.
El tratamiento actual se basa principalmente en resolver el cuadro obstructivo y resolver el cuadro de la fístula que puede ser en el mismo tiempo quirúrgico o programada en una segunda cirugía5,6.
PRESENTACION DEL CASO
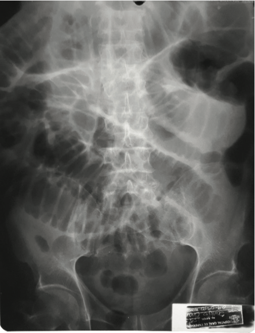
Paciente masculino de 72 años, sin antecedentes médi- cos ni quirúrgicos, que consulta por distensión abdominal de 5 días de evolución, asociado a vómitos con contenido biliar, que previamente ha consultado con medico parti- cular quien por dolor abdominal le solicito USG reportan- do masa en segmento IV hepático por lo cual lo refiere. Al ingreso signos vitales sin alteraciones, con signos de deshidratación, abdomen distendido sin ruidos gastroin- testinales, tacto rectal con heces en ampolla rectal, por lo que se ingresa con diagnóstico de obstrucción intestinal y lesión hepática a estudio iniciando manejo médico, solici- tando laboratorios y estudios de imagen (Figura 1).
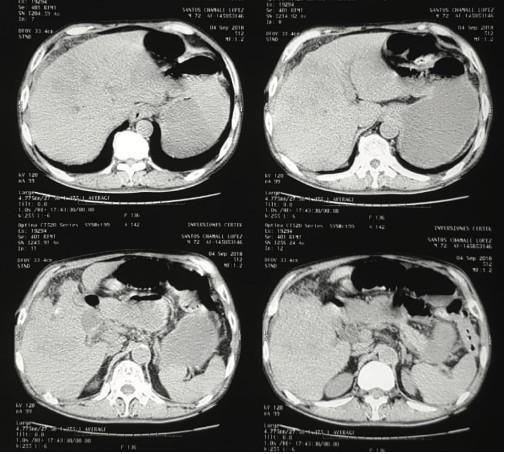
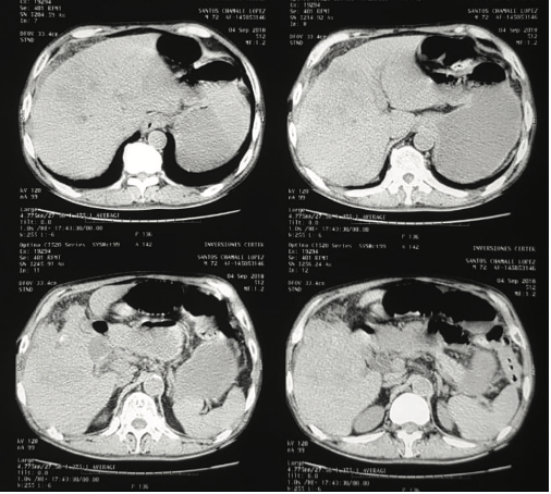
Laboratorios de ingreso con leucocitosis (13,500) y for- mula diferencial con neutrofilia (92%), química sanguínea sin alteración hidroelectrolítica, con bilirrubinas totales en 2.1 directa en 1.6 indirecta en 0.5, GGT en 560. A las 6 horas de ingreso distensión mejora y logra defecar por lo que continua en observación. A las 12 horas del ingreso paciente vuelve a distenderse y presentar vómitos por lo que se realiza tac abdominal (Figuras 2 y 3).
Figura 1. Pieza quirúrgica completa de la resección de Whiple (pancrea- toduodenectomía cefálica). (A) estructura de vesicula biliar y via biliar (B) antrectomia (C) duodeno y cabeza de páncreas con lesión tumoral en cabeza de pancreas. (D) yeyuno proximal.
Figura 2. Tomografía abdominal que demuestra a nivel hepático neumo- bilia, además no se logra diferenciar adecuadamente lecho vesicular ni vía biliar, únicamente imágenes de infiltración a nivel de lecho hepático.
Figura 4. Lito intraluminal y extracción del mismo a través de una ente- rotomía realizada en yeyuno.
Con diagnóstico de obstrucción intestinal se decide el in- greso a quirófano para realizar laparotomía exploradora. Donde se evidencia distensión de asas intestinales, con presencia de un lito intraluminal en yeyuno a 45 cm de la válvula ileocecal que mide aproximadamente 4 cm de diámetro. Se realiza enterotomía y extracción del lito in- traluminal (Figura 4). Se observa que la vesícula se en- cuentra adherida hacia duodeno formando una fístula colecistoduodenal sin palpar presencia de litos. En el transoperatorio presenta acidosis metabólica. Se decide que en este tiempo quirúrgico se resolverá la obstrucción y se realizará en una segunda cirugía la reparación de la fístula colecistoduodenal.
Paciente sale de sala de operaciones con acidosis me- tabólica pasa a unidad de cuidados intermedios donde evoluciona de forma satisfactoria con resolución de la acidosis metabólica el primer día postoperatorio. Al se- gundo día se inicia dieta líquida la cual es tolerada y pasa al servicio de cirugía abdominal. Se da seguimiento por consulta externa. Paciente no accede a cirugía para re- solver fístula colecistoduodenal por lo que continua con seguimientos programados en consulta externa.
DISCUSIÓN
El íleo biliar es una causa poco frecuente de obstrucción intestinal, debido a la clínica intermitente de obstrucción el diagnostico preoperatorio es un reto3,4. Es de suma im- portancia la historia clínica, y el uso de diagnósticos por imagen, debido a que estos estudios pueden evidenciar neumobilia y presencia del lito intraluminal, estos casos se pueden clasificar según la clasificación de Csendes y cols. En el grado Vb existe una fistula biliar asociada a íleo biliar (tabla 1).
Existe un dilema en el manejo transoperatorio debido a que existe dos posturas la primera es resolver el cuadro de obstrucción en el mismo tiempo de la reparación de la fístula biliar. El segundo es programar en un segundo procedimiento la reparación de la misma por la posibi- lidad de provocar una lesión de las vías biliares debido a la inflamación presente10. Sin embargo, considerando que nuestro paciente metabólicamente se encontraba descompensado transoperatoriamente y sin evidenciar más litos en la región de vesícula biliar, se decidió que se programaría la reparación de la fístula biliar en un se- gundo tiempo quirúrgico. En nuestro paciente la fístula bilioentérica no fue tratada quirúrgicamente debido a que el paciente rechazo la reparación. Esto puede gener- ar problemas de colangitis ascendentes por el denomina- do síndrome del Sumidero. Por lo cual se debe explicar a estos pacientes sobre los signos de alarma con sospecha de colangitis.
CONCLUSIÓNES
El íleo biliar es infrecuente, sin embargo, debe de consid- erarse el diagnostico dentro de los cuadros de obstrucción intestinal. Además, los estudios de imagen preoperatoria son de suma importancia para el diagnóstico. Y de esa forma tener un plan quirúrgico desde antes de ingresar a quirófano de esa forma poder solicitar la autorización del paciente de una posible derivación bilioentérica debido a la fístula biliar.
REFERENCIAS
-
Ploneda-Valencia. El íleo biliar: una revisión de la literatura médi- ca. revista de gastroenterologia de Mexico. 2017.
-
González OR. Resolución laparoscópica de litiasis vesicular com- plicada con fístula colecistobiliar y colecistoduodenal. Síndrome de mirizzi tipo V. a propósito de un caso complejo. RFM v.32 n.2 Caracas dic. 2009. .
-
Salazar-Jiménez MI. Íleo biliar, revisión del manejo quirúrgico. Cir Cir. 2018;86:182-186. .
-
Lorena Brandariz Gil, Tríada de Rigler en íleo biliar, Revista Españo- la de Enfermedades Digestivas, 2016, Vol. 108, N.o 9, pp. 581-582
-
Luis Fernando Álvarez Chica, MD Íleo biliar y síndrome de Bouve- ret. Lo mismo pero distinto Descripción de dos casos y revisión de la literatura, Rev Col Gastroenterol / 25 (1) 2010
-
6. Francisco Javier Mancilla Ulloa, Íleo biliar: reporte de un caso y revisión, elsevier, 2014
7. . Mohan K, Mark L, Shapiro M, Scarborough J. Gallstone ileus: re- visiting surgical outcomes using national surgical quality improve- ment program data. J Surg Res. 2013;184: 84-8
8. . Beuran M, Ivanov I, Venter M, Davila C. Gallstone ileusclinical and therapeutic aspects. J Med Life. 2010;3(4): 365-71
9. Xin ZD, Guo QL, Feng Z, Xue HW, Chua YZ. Gallstone ileus: Case report and literature review. World J Gastroenterol. 2013;19(33):5586-9
10. Ayantunde AA, Agrawal A. Gallstone ileus: Diagnosis and manage- ment. World J Surg. 2007;31:1292-7




