Ronald Estuardo Salazar Porres1, Karen Aileen Girón Orellana2.
1Residente de Cirugía Oncológica, Instituto Nacional de Cancerología y Hospital de “Dr. Bernardo del Valle S.” (INCAN). 2Cirujana Oncóloga, Jefe de Servicio, Instituto Nacional de Cancerología y Hospital “Dr. Bernardo del Valle S”, (INCAN). Autor corresponsal Ronald Salazar correo: Ronald.salazar. porres@gmail.com
RESUMEN
El colgajo en piedra angular es un colgajo local fasciocutáneo que no requiere identificación de perforantes, descrito por Behan en 2003, que admite el cierre primario en un único acto quirúrgico tanto del defecto como de la zona donadora sin necesitar injerto cutáneo. El propósito del siguiente artículo es presentar un caso interesante de reconstrucción de defecto en pared torácica posterior con colgajo de piedra angular secundario a resección de lesión tumoral, así como una revisión de la literatura. Se presenta un caso de un paciente masculino de 57 años con lesión tumoral en región dorsal de 10 años de evolución, a quien se le realizo resección amplia y reconstrucción con colgajo en piedra angular en el Instituto de Cancerología y Hospital “Dr. Bernardo del Valle S.”. El paciente presenta adecuada evolución, y tras los resultados obtenidos se concluye que el colgajo en piedra angular es una herramienta útil, fácilmente reproducible, para reconstrucción de defectos de gran tamaño a nivel de tórax.
Palabras claves: colgajo en piedra angular, tórax, reconstrucción
ABSTRACT
Reconstruction Of Wide Posterior Thoracic Defects With The Keystone Perforator Island Flap
The keystone perforator island flap is a fasciocutaneous flap that does not require perforators identification, described by Behan in 2003, which admits the primary closure in a single surgical act of the defect zone such as the donor zone and does not require skin graft. The proposal of the following article is to present an interesting case of reconstruction in a defect of the posterior thoracic wall secondary to resection of tumor, as well as a revision of the literature. Presented a case of a 57-year-old male patient with a tumor in the dorsal region of 10 years of evolution, who underwent a large resection and reconstruction with keystone perforator island flap at the Institute of Cancer and Hospital “Dr. Bernardo del Valle S.”. The patient presents adequate evolution, and through the obtained results it is concluded that the keystone perforator island flap a useful and easily reproducible tool for reconstruc- tion of large defects at the thorax level.
Keywords: keystone flap, thorax, reconstruction.
INTRODUCCIÓN Y OBJETIVO
La reconstrucción de los defectos en el tórax en piedra angular es confiable debido al predominio de perforantes musculocutáneas dispuestos segmentariamente en esta región. El número significativo de perforantes hace po- sible realizar colgajos de gran tamaño de cualquier par- te del cuerpo y en la mayoría de los casos hace que la reconstrucción sea relativamente sencilla. La mitad del tronco (parte posterior) no es directamente visible para el individuo, y muchas de las lesiones en dicha área pue- den ser más grandes y más avanzadas al momento del diagnóstico.
Los colgajos perforadores se han convertido en una alter- nativa popular ya que permiten que los colgajos se cose- chen sin sacrificar el musculo subyacente o la anatomía vascular. La belleza del colgajo es su simplicidad, ya que no requiere una identificación o disección especifica de las perforantes. Una comprensión de los tipos comunes
de defectos, la naturaleza del suministro local sanguíneo y los ejes más adecuados para la planificación de colgajos son muy útiles para la aplicación de colgajos en piedra angular en esta región.
El objetivo del presente trabajo es la presentación de un caso interesante de un paciente masculino de 57 años con lesión tumoral de ±15x10 centímetros en región dor- sal de 10 años de evolución, a quien se le realizo resec- ción amplia y reconstrucción con colgajo en piedra angu- lar con adecuada evolución, así como una revisión de la literatura respecto a este tipo de colgajo
DESCRIPCIÓN DETALLADA DE LA TÉCNICA QUIRÚRGICA.
En la evolución de la reconstrucción de los colgajos y ba- sados en la teoría de los angiomas de Taylor, en 1989 Kos- hima y Soeda hacen la primera descripción de los colgajos de perforantes, entendiendo como aquel que está basa
do en un pedículo vascular con una o más perforantes, que pasan a través de tejidos profundos (músculo, fascia, septos o directos), antes de irrigar la piel1.
Pedículos vasculares y suministro de sangre en el tronco.
La gran mayoría del suministro de sangre a la piel del tronco llega a través de perforantes musculocutáneo o septocutáneo. En la región posterior, la región paraver- tebral tiene un suministro segmentario a través de las arterias espinal e intercostal posteriores con contribucio- nes de las arterias escapular dorsal superiormente y de los vasos glúteos inferiormente. Su disposición segmen- taria regular facilita la predicción de la posición de las perforantes buscándolas dentro del defecto y esperando similares en los segmentos aledaños. Estas numerosas perforantes predecibles garantizan la seguridad de la dis- torsión en piedra angular y los colgajos relacionados en la parte posterior.
Behan en el 2003 hace por primera vez la descripción de un colgajo basado en múltiples perforantes llamado col- gajo en isla tipo Keystone, inicialmente referido con el fin de realizar cobertura posterior a resecciones de tumores, ahora utilizado en el armamento de reconstrucción de defectos de varias etiologías, alrededor de toda la super- ficie corporal, siendo un colgajo con diseño trapezoidal de forma curvilínea, fundamentado en la piedra angular de los arcos arquitectónicamente hablando, cuyo cierre está basado en los avances V en Y2.
Subregiones y planificación de colgajos en piedra angular.
El tronco incluye varas subregiones diferentes que, en general, comparten un suministro de sangre basado en perforantes y un patrón dermatoma circunferencial. Los músculos paraespinales se extienden longitudinalmen- te con perforantes segmentales para suministrar la piel suprayacente. Los colgajos cerca de la línea media de la espalda suelen estar orientados en paralelo a los múscu- los subyacentes (perpendiculares a los dermatomas) para maximizar el movimiento y facilitar la incorporación de perforantes. Esta orientación permite el uso de piedra an- gular simples o bilaterales o la reconstrucción de defectos de la línea media o paramedial con un avance con o sin transposición según sea necesario3.
La espalda
La parte posterior es única en el tronco respecto al grosor de la dermis de la piel de la espalda. La espalda tiene una resistencia a la tracción confiable para facilitar la eleva- ción, la movilización y el cierre de los colgajos tanto de defectos primarios como secundarios.
Técnica quirúrgica
La técnica quirúrgica que se emplea se basa fundamen- talmente en la descrita por Behan. El diseño clásico de colgajo se asemeja a la forma de las piedras. Consiste en un trapezoide curvo, con 2 márgenes rectos de igual tamaño y 2 márgenes curvos, unos más largo que otro. Su longitud y sus ángulos pueden variar para ajustarse a cada región del cuerpo, pero clásicamente el diseño consiste en un trapezoide arqueado cuyo costado curvo corto corresponde al margen del defecto al que se le ha podido dar forma de elipse o no. Los costados rectos se conforman al trazar una línea recta en cada extremo del arco corto con el que conforman un ángulo recto a cada costado. Finalmente, otra línea arqueada, larga y paralela al arco corto, cierra la figura.
Un método simple para orientar el diseño del colgajo es colocar su eje mayor paralelo a las líneas de tensión de la piel, y comprobar mediante maniobra de pellizco si existe suficiente elasticidad y laxitud para cubrir el defecto ge- nerado y a la vez, cerrar la zona donadora.
El colgajo se puede movilizar en avance, rotación o trans- posición. En función del tipo de movilización y de la re- gión sobre la que se está trabajando, puede hacer falta levantar parcialmente el colgajo del lecho manteniendo siempre una zona de contacto que se garantice el aporte vascular para así no comprometer la viabilidad del mis- mo.
Se fija el colgajo a su nueva posición mediante puntos de colchonero verticales colocados en lugares estratégicos para repartir las fuerzas de tensión; comenzando general- mente por el punto más distante que en el diseño clásico corresponde al punto central del defecto, y siguiendo con 2 puntos que dividen en tercios la zona donadora. A par- tir de aquí, cerramos los espacios con puntos cutáneos simples o en colchonero si existe poca tensión o cerramos por planos si la tensión es mayor. Antes de acabar de ce- rrar, se deja un drenaje aspirativo que se retira cuando el débito sea escaso4.
RESULTADOS
Se presenta un caso de un paciente masculino de 57 años con lesión tumoral en región dorsal de 10 años de evolu- ción. Al examen físico presenta lesión tumoral de ±15x10 centímetros, dura, poco móvil, no dolorosa a la palpación de bordes definidos (figura 1).
Estudios de extensión
Ultrasonido de tejidos blandos: se observa una masa so- lida heterogénea con áreas hipoecogénicas difusas que pueden corresponder a necrosis, los elementos solidos demuestran escaso flujo vascular de baja resistencia con el Doppler color, de 10x9x4cm, situada a 4mm de la piel.
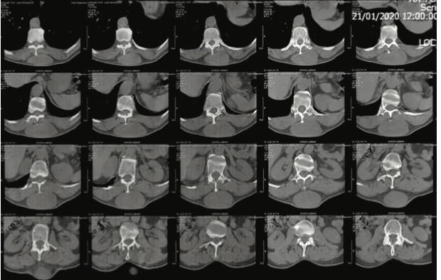
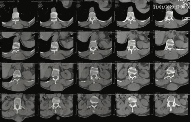
Tomografía de columna dorsolumbar: se evidencia co- lección liquida a nivel de tejidos blandos subcutáneos posterior de la región dorso lumbar de T10 a L1 de 7.3x3.9x12.4cm con un volumen de 184cc. Los bordes son bien definidos y las paredes son delgadas, con un gro- sor de 2.3mm, los cuales, tras la aplicación de medio de contraste, muestra realce sugestivo. No hay invasión de estructuras óseas o músculos paravertebrales (figura 2).
Resonancia magnética de columna dorsal: a nivel de te- jidos blandos de la región dorsolumbar a nivel de T10-L1 se observa masa heterogénea con áreas de necrosis, así como áreas solidas que mide 12.2x5cm (figura 3).
Biopsia con aguja de corte (trucut): tejido con extensa ne- crosis y trombo organizado
Biopsia incisional: proceso inflamatorio agudo y crónico con áreas abscedadas en dermis profunda e hipodermis.
Posteriormente, se programa para sala de operaciones el día 08/02/2021, a quien se le realiza resección amplia y reconstrucción con colgajo en piedra angular.
En un primer lugar, se diseña el tipo de colgajo a utilizar preoperatoriamente, estando el eje de los colgajos en án- gulo recto con los dermatomas. Posteriormente se reseca la lesión con márgenes amplios macroscópicamente, y se procede a realizar colgajo en piedra angular (figura 4).
Trans operatoriamente se evidencia que solo es necesa- rio realizar un lado del colgajo, ya que avanza adecuada- mente para cerrar el defecto de línea media (figura 5).
Paciente con adecuada evolución postoperatoria, con colgajo en adecuadas condiciones, sin signos de isquemia aguda, sin colecciones, con drenaje hemovac permeable. Se da egreso con seguimiento en la consulta externa (fi- gura 6).
Resultado de patología
Tumor de 15x10x7cm, en su mayoría conformado por necrosis y absceso en la periferia, se reconocen algunos canales vasculares revestidos por células endoteliales
sin atipia, compatible con HEMANGIOMA CARVERNOSO TROMBOSADO RECANALIZADO (necrosis en 95% de la pieza). Márgenes libres.
DISCUSIÓN
Paciente presentaba una lesión tumoral crónica con dos resultados de biopsias negativas para malignidad, por lo que se decidió llevar a sala de operaciones para resección amplia y reconstrucción. Trans operatoriamente se evi- dencia que únicamente es necesario realizar uno de los dos colgajos planificados, y se realiza un pequeño colgajo de rotación en la parte inferior para completar de cerrar el área operatoria. En el seguimiento se evidencia peque- ña área de epidermólisis, la cual se le da tratamiento con- servador, con un resultado satisfactorio.
Lograr la reconstrucción locorregional es una necesidad imperativa para todo cirujano que debe estar familia- rizado con el uso y las aplicaciones de un gran número de colgajos, que le darán la seguridad de poder cerrar el defecto bajo cualquier circunstancia. Este tipo de colga- jo ofrece una solución para este tipo de problemas, ya que es un colgajo locorregional seguro, fácil de diseñar, levantar y ajustar al defecto a cubrir para conseguir un cierre rápido de defectos localizados en distintas regiones corporales. Además, es una técnica fácil de aprender, e incluso un buen punto de partida para los cirujanos que se están iniciando en la reconstrucción locorregional.
El colgajo en piedra angular presenta además una serie de ventajas, como el hecho de que se trate de una téc- nica poco agresiva para el paciente ya que no requiere un gran tiempo quirúrgico; incluso se puede llevar a cabo bajo anestesia local cuando el defecto a cubrir no es muy amplio. Esto hace que, en determinados casos, se puedan beneficiar de esta técnica pacientes mayores con mucha comorbilidad. Así también, este colgajo que requiere po- cos cuidados postoperatorios y permite una rápida mo- vilización del paciente, evitando así un encamamiento prolongado.
Todos estos factores en conjunto favorecen la relación coste-efectividad. Siempre se debe tener en cuenta que la reconstrucción locorregional suele conseguir resulta- dos estéticos más satisfactorios que la reconstrucción microquirúrgica al utilizar tejidos próximos a la lesión que generalmente tienen unas características estéticas más parecidas a las de la zona a tratar. Asimismo, el resultado estético obtenido con colgajos locorregionales también es mejor que el que se pudiera obtener al cubrir el defec- to con un injerto cutáneo, evitando la deformidad conse- cuente con aspecto de mordisco de tiburón.
REFERENCIAS
-
Behan FC, Findlay M, Lo CH. Concept & Applications: Keystone Island Perforator Flap. Australia: Elsevier; 2012.
-
Behan FC, Sizeland A. Reiteration of core principles of the keystone island flap. ANZ J Surg. 2006;76:1127–1129
El paciente presentaba una lesión tumoral a nivel dorsal central de extenso tamaño, por lo que no se consideró reconstruir el defecto con un injerto de piel de espesor parcial ya que funcionalmente tiene mayor contractura y riesgo de necrosis del injerto, y estéticamente es deficien- te. Además, no se dispone en la institución con equipo adecuado (dermatomo eléctrico) para realizar un injerto de piel de gran tamaño. Además, no presentaba ningún tipo de comorbilidad o contraindicación, por lo que se optó por utilizar un colgajo con bajo riesgo de complica- ciones y alta tasa de éxito según lo reportado en la lite- ratura.
CONCLUSIONES.
-
El colgajo en piedra angular es una herramienta útil, fácilmente reproducible, para reconstrucción de de- fectos de gran tamaño a nivel de tórax.
-
En un futuro, el colgajo en piedra angular se puede convertir en uno de los principales colgajos emplea- dos en la reconstrucción locorregional, limitando el uso de los colgajos libres a defectos no aptos para la misma; e incluso que podría usarse conjuntamente con colgajos libres para cerrar la zona dadora de es- tos en caso de no poder hacerse un cierre primario.
RECONOCIMIENTOS
Agradecimiento a la Dra. Karen Aileen Girón Orellana por su colaboración en el presente trabajo.
Trabajo libre de conflicto de intereses.
3. A Boucher F, Mojallal A. Atlas of perforating arteries of the pole, trunk and members. Clinical applications and therapeutic indica- tions. Elsevier Masson (2015)
4. Khouri JS, Egeland BM, Daily SD, Harake MS, Kwon S (2011) The keystone island flap: use in large defects of the trunk and extremi- ties in soft-tissue reconstruction 3: 1212-1221







